
引言
分享一个短小精干的病例,患者肺炎经抗生素治疗后好转但咳嗽未止,复查CT又现肺不张。按慢性咳嗽常规思路排查,始终没找到“真凶”,直到住院时医生追问出被前期忽略的细节,诊断方向才突然逆转。为什么看似非常平常的描述会成为解开慢咳真相的关键?这告诉我们,慢性咳嗽的病因除了呼吸科常见疾病,有可能藏着跨学科的“隐形凶手”?最大的启发是,当我们盯着肺部影像和实验室指标时,是否该多问一句:“咳嗽有没有什么特殊的诱发因素?”
反复咳嗽1年伴进食后呛咳阳性……以往疏忽的进食后咳嗽细节,是否藏着咳嗽迁延不愈与肺不张的真相?
【卷宗1】女性患者,51岁,2024年8月5日我院第一次门诊,主诉:反复咳嗽1年。
讲述者:车鸾卿
患者1年前出现咳嗽症状,有时有反酸嗳气,无胸闷、气短、呼吸困难、鼻塞或流涕等。5个月前,外院肺部CT提示右肺多发片状磨玻璃样影,考虑肺部感染,经过抗生素治疗好转,但仍反复有咳嗽。此外,患者7月17日外院喉镜提示喉炎。1个月前再次复查肺部CT提示右中肺小片状肺不张。门诊拟“慢性咳嗽、肺诊断性影像异常”收住入院。病来神清,精神软,两便无异常,体重下降5kg。
既往史否认鼻炎、哮喘病史。否认过敏史,抽烟史及粉尘和有害气体接触。否认ACEI类药物使用史。
结合患者的情况和前期检查,老年女性,反复咳嗽,近期外院肺部CT提示小片状肺不张,首先就是核实肺部炎症是否进一步吸收、是否存在局部气道梗阻的问题。其次,是从慢性咳嗽的诊断角度出发,评估和查找慢咳病因。一般意义上的慢性咳嗽,主要指以咳嗽为主要或惟一症状、发病时间≥8周、胸部影像学检查没有明显异常者被称为慢性咳嗽。
患者入到住院部后,医疗组首先是对患者进行了非常仔细的病史询问。在这个阶段,医生获得了一个非常重要的信息,一个在以往门诊、住院治疗中疏忽的细节。这个患者反映咳嗽似乎在饮水、进食后加重!考虑到患者饮水或进食后咳嗽加重,但没有明显恶心呕吐、反酸打嗝等症状,医生随即给患者进行了简单异易行的洼田饮水试验。请患者保持坐位,喝下30mL温开水。试验显示,患者能一次咽下,但有明显呛咳症状,结果为阳性!
呛咳的存在未被及时发现导致肺炎干扰诊断……问诊成为慢咳真相的关键转折点
讲述者:李娜
这个发现称得上是一个“分水岭”。这个结果也能解释为什么患者在前期出现了肺炎。追溯起来,呛咳也是导致肺炎的罪魁祸首。由于一直没有发现和确认呛咳的存在,这个肺炎、小片肺不张一度干扰了整个诊断方向。
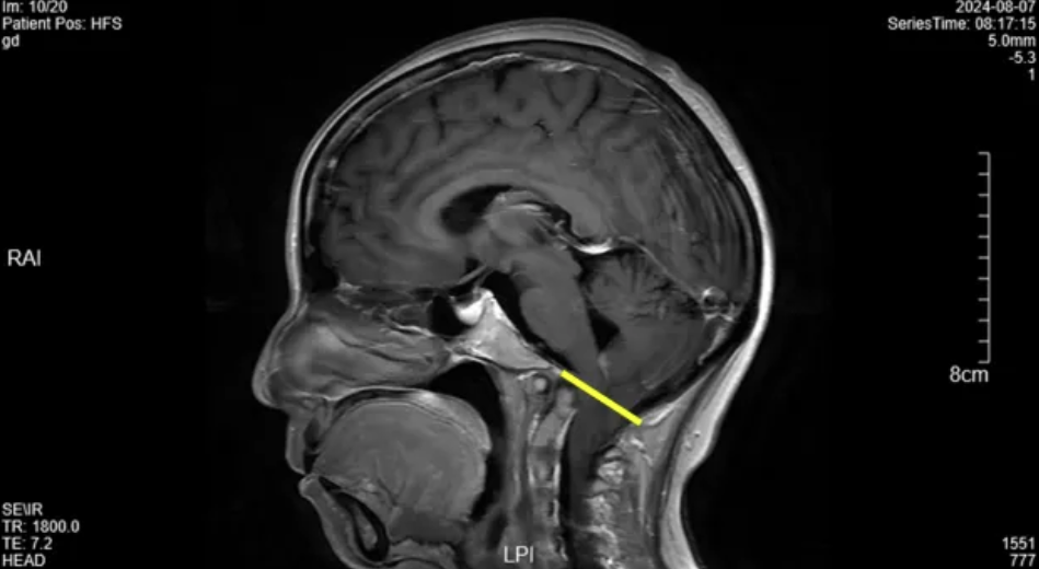
医生原本计划完善气管镜和肺功能激发试验,此时立即转换思路、调整诊断方向,安排患者完善头颅MR增强,结果提示颅底凹陷伴小脑扁桃体疝。

图: 8月7日我院头颅MR增强结果。黄线显示为枕骨大孔平面,小脑扁桃体下端通过枕骨大孔平面向下移位 ≥ 5 mm,提示小脑扁桃体疝。
这个结果是否能解释患者的呛咳呢?患者存在颅颈交界区畸形情况,小脑扁桃体疝患者在神经外科、神经内科比较常见,因此主管医生联系了我院神经外科。从神经外科了解到,小脑扁桃体疝女性多于男性,病程方面,从出现症状到入院时间为6周-30年,平均4.5年,常见症状无特异性,可表现为颈部疼痛、面部感觉异常、共济失调、眼球震颤、四肢感觉异常、饮水呛咳、声音嘶哑。令人惊讶的是,到目前为止,这位患者感知到的唯一症状就是“呛咳”。
后续经过积极的沟通,患者转至神经外科手术。术前进一步查体:软腭上抬可,伸舌可,未见明显舌肌萎缩,抬头肌力减退,四肢腱反射+++,双侧Hoffman征阳性,双侧病理征未引出。从上述专科体检中可以看出,患者实际上已存在抬头肌力的下降,以及部分查体结果阳性。8月12日,神经外科开展了枕骨枕部-枕-颈部融合术。术后随访:患者呛咳较前改善,偶有发生。
黄华琼主任点评
至此,我们求证了该患者咳嗽、肺炎—呛咳、吞咽功能障碍—由小脑扁桃体疝引发,形成闭环的证据链,揭开了该患者慢咳的真正原因。我们认为,对于这位患者诊断明确的一个重要转折点是——仔细问诊。
在实际临床工作中,慢性咳嗽的病因非常复杂、涉及多个相关学科,比如:上气道咳嗽综合征、咳嗽变异性哮喘、嗜酸粒细胞性支气管炎和胃食管反流性咳嗽等。另外还有服用高血压 ACEI 类药物引起的慢性咳嗽、变应性咳嗽、慢性心功能不全、支气管结核等相对少见的病因。因此,慢性咳嗽问诊非常繁琐,务必仔细对待。这个病例也再次印证,面对纷繁复杂的慢性咳嗽,详尽的问诊始终是我们拨开迷雾、溯本求源的基石,也是避免思维固于常见病的关键第一步。
专家介绍

黄华琼
浙江大学医学院附属第二医院呼吸与危重症医学科主任医师,博士,博士生导师。中华医学会呼吸分会哮喘学组委员,中国医师协会哮喘和变态反应工作委员会委员,中国老年医学学会呼吸病学分会慢阻肺学组委员、浙江省咳嗽联盟副主席、擅长慢性气道疾病、肺癌等诊治。

车鸾卿
浙江大学附属第二医院呼吸与危重症医学科副主任医师,医学博士。主持国家自然科学基金一项,发表中英文文章数篇,擅长慢性气道炎症性疾病,尤其是胸闷变异性哮喘、不典型哮喘、过敏性哮喘的诊治。

李娜
浙江大学医学院附属第二医院呼吸与危重症医学科副主任医师,医学博士,浙江省医学会呼吸分会重症学组委员,浙江省医师协会呼吸医师分会哮喘学组委员,浙江省医师协会呼吸医师分会青年委员会委员。
* 文章仅供医疗卫生相关从业者阅读参考
本文完
采写编辑:冬雪凝;责编:Jerry